新闻动态
您的位置: 首页 > 省立新闻 > 新闻动态

【省立医讯】2岁患儿“肺”同寻常,儿外科开展小儿肺段切除手术斩除腺瘤

发布时间:2021-03-29 18:09  点击数:

近日,我院儿外科徐迪教授团队完成一例胸腔镜下先天性肺囊腺瘤样畸形切除术(多肺段联合切除术),成功治愈2岁患儿的先天性肺囊腺瘤样畸形。该项技术的成功开展,标志我院儿外科在儿童胸科微创手术方面再上新台阶。


肺部“定时炸弹”

竟是先天性肺囊腺瘤样畸形

患儿晗晗(化名)患了一种叫先天性肺囊性腺瘤样畸形的疾病(CCAM),这是一种支气管、血管的先天发育畸形,通常在孕18-24周时行彩超检查时发现,出生后需手术切除。

晗晗出生后最初没有明显症状,近期,她突然咳嗽咳痰加剧,在当地医院检查肺部CT发现左肺囊性病灶较刚出生时增大了不少,有3.8×6.4×5.6cm,相当于一个鸡蛋大小。

儿外科徐迪教授接诊后,告诉晗晗的父母,由于肺部病灶较前增大,跨左肺上下叶,长期如此将导致患儿肺功能下降,远期还有癌变的可能,建议进行手术治疗。

抽丝剥离

多学科通力斩除腺瘤

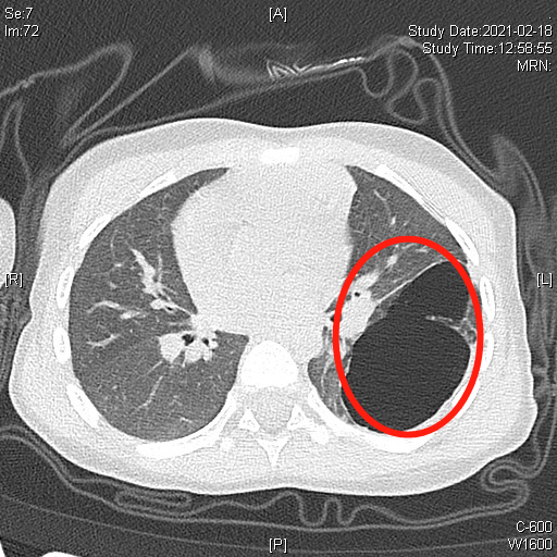
▲CT显示左侧胸腔巨大病灶

由于晗晗的胸腔空间狭小,小儿支气管血管发育较细小,分离困难,病灶跨叶生长,在保证手术切除范围的同时还要尽可能多保留患儿正在生长发育的肺组织,手术难度极大。

此时,我院作为临床诊疗中心的综合优势突显,多学科专家联合为晗晗的手术治疗保驾护航。

在胸外科欧德彬主任医师、郭天兴副主任医师,麻醉二科齐娟主任医师、钟白副主任医师及第二手术室护理团队的通力配合下,儿外科徐迪教授与庄曦主任医师利用胸腔镜的高清视野,仔细解剖游离,松解粘连,成功将晗晗左肺部分病肺组织切除,避免了肺叶切除后肺功能的严重受损,最大限度保留了晗晗的肺功能。术后晗晗恢复良好,次日即自主进食,顺利拔除胸管,现已康复出院。

我院儿外科目前已常规运用机器人手术系统、腹腔镜,胸腔镜涵盖了消化系统、泌尿系统、呼吸系统等领域,是全省开展儿外科腔镜手术病种数量最多、种类最全的科室,技术及疗效达国内先进水平,走在全国小儿外科微创技术前沿,依托于福建省立医院多学科团队的支撑,将为患儿提供更加优化、精准、安全的治疗。