

一次普通体检,查出两个肿瘤,这对患者赵先生来说,仿佛是晴天霹雳。
两个肿瘤,一个长在胰腺上,足有3公分大小,另一个紧紧贴在肾上腺上,也有2公分大小。
我院坚持多学科联合诊疗模式,为患者提供个性化精准优质医疗服务,再次显成效,肝胆胰外科、泌尿外科强强联手MDT团队,通过达芬奇手术机器人技术的跨科协作,一次手术,顺利切除两处肿瘤,赵先生成为多学科诊疗的又一位受益者。
一个月前,赵先生带着体检报告,慕名找到我院肝胆胰外科严茂林主任医师寻求帮助。通过详细的检查,考虑两个肿瘤分别是胰尾神经内分泌肿瘤和左肾上腺腺瘤。

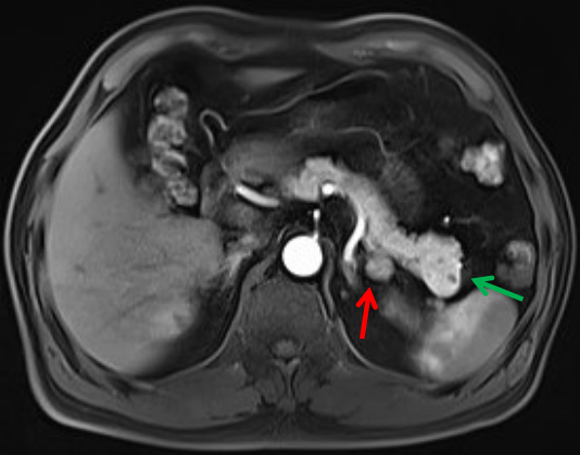
胰腺尾部肿瘤(绿色箭头)
和肾上腺肿瘤(红色箭头)
严茂林主任医师介绍:“我们发现肾脏的肿瘤后,邀请泌尿外科、内分泌科、麻醉科等多位专家一起会诊。”
在手术方案的选择上,严茂林主任医师和泌尿外科朱庆国主任医师结合赵先生的情况,进行了细致讨论。
手术的特殊之处在于两个肿瘤属于不同器官,传统的手术方式要分两次切除或者经不同手术入路(腹腔入路和腹膜后入路)来切除胰腺和肾上腺肿物,给病人带来较大的创伤和风险。
如何能做到一次手术同时切除胰腺及肾脏的病灶,又尽可能减少患者创伤?专家们决定采用最新的达芬奇手术机器人技术,将手术分为两个阶段进行。
第一阶段,由泌尿外科朱庆国主任医师负责切除左肾上腺的肿瘤。
第二阶段,再由严茂林主任医师通过肾上腺手术入路切除胰腺尾部肿瘤。
这样只需要一条手术入路、一次手术就能完成两个脏器肿瘤的切除,大大减轻了病人的痛苦。
最终,两阶段的手术总用时不到1小时就顺利完成,术中出血量不足20毫升,术中仅放置了一根腹腔引流管。患者术后恢复良好,已顺利出院。
这种手术方式既安全又高效,实现了真正的微创手术!术后病理提示为左肾上腺腺瘤和胰腺神经内分泌肿瘤(G1),均为良性病变。
严茂林主任医师介绍,“这是我院首次运用达芬奇手术机器人同时切除胰腺和肾上腺肿瘤,可以说,这是集合了多学科MDT讨论、个体化精准治疗、高科技前沿技术、加速康复外科理念于一体的典型案例,为类似疾病患者提供了新的治疗方案。”

